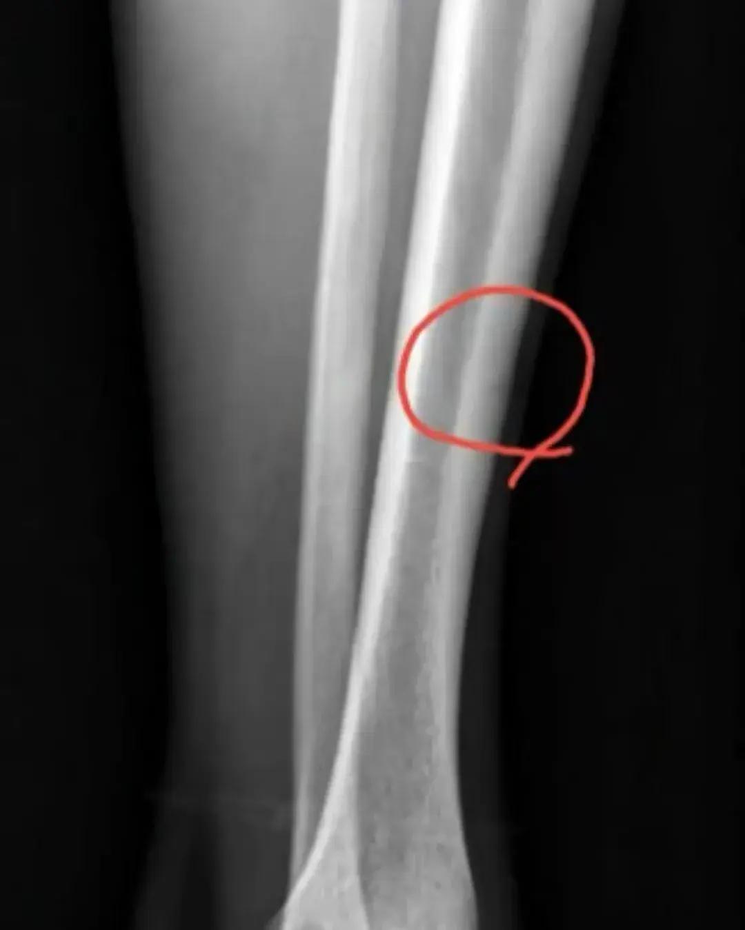
備受矚目的孫銘徽傷病情況,今天上午終於有了明確答案。就在剛剛,浙江廣廈核心球員孫銘徽,通過個人社交媒體賬號,向球迷分享了他的身體情況,從孫銘徽發佈的X光照片來看,他此次罹患的是左小腿輕微骨裂,屬於是長期疲勞導致的傷病。雖然不是什麼嚴重問題,不需要通過手術來治療,但由於小腿已經出現骨裂,因此孫銘徽也必須接受休息,給予小腿恢復充足的時間,距離季後賽開打還有兩個星期的時間,不知道他能否趕上今年季後賽的舞臺。
孫銘徽的受傷,對於浙江廣廈而言,無異於是晴天霹靂,要知道本賽季孫總可謂是打出了現象級的表演,場均21.0分位列本土球員第三,場均10.6次助攻位列全聯盟第一,場均2.4次搶斷位列全聯盟第一,個人效率值11.1同樣是所有球員中的最高值。可以說在不少球迷心目中,孫銘徽已經提前預定了本賽季的常規賽MVP,只可惜的是,臨近季後賽開打,他卻突然遭遇小腿骨裂的傷病影響,這對於他本人和浙江廣廈男籃而言,無異於是雙重打擊。
目前,浙江廣廈排名聯賽第五,與第四的廣東宏遠之間只有一分的差距,他們也是本賽季五支最有希望爭奪總冠軍的球隊之一(其餘四支爲遼寧、新疆、浙江和廣東),特別是對衛冕冠軍遼寧男籃而言,他們本賽季已經三次輸給浙江廣廈,這三場比賽裏,孫銘徽分別貢獻了26分9助攻、13分6籃板8助攻、以及26分6籃板11助攻6搶斷的驚人數據,正是得益於他的出色發揮,浙江廣廈本賽季纔可以三殺遼籃,按照目前的積分排名,遼寧男籃在半決賽很有可能遭遇廣東和廣廈的勝者,這對他們而言也是不小的挑戰。
可如今,伴隨着孫銘徽的受傷,浙江廣廈男籃也幾乎退出了本賽季總冠軍爭奪的行列,哪怕胡金秋的數據同樣亮眼,但缺少了孫銘徽作爲後場發動機,整個廣廈隊的進攻都將受阻,只能說最近幾年,傷病成爲了限制廣廈男籃的重要原因,無論是此前胡金秋、趙巖昊的受傷,還是如今孫銘徽所遭遇的意外傷病,再加上此前還曾手掌骨折的趙嘉仁,幾名主力輪番遭遇傷病魔咒,縱使王博有再大的本事,恐怕也是迴天乏力。
擺脫了浙江廣廈之後,遼寧男籃在季後賽也只需要提防新疆、浙江和廣東三支球隊,進入第三階段常規賽後,廣東和浙江曾先後分別以25分和27分大勝遼寧男籃,今晚新疆男籃也將客場挑戰遼寧,等於說楊鳴趕在季後賽前,已經與三支爭冠對手全部都有交鋒,暫時的失利並不可怕,因爲我們堅信遼寧男籃的成功,源自於隊員們最堅韌的品質,期待季後賽郭艾倫迴歸之後,遼寧男籃能夠順利達成三連冠偉業,把遼寧籃球這些年丟失隊東西全都拿回來。
